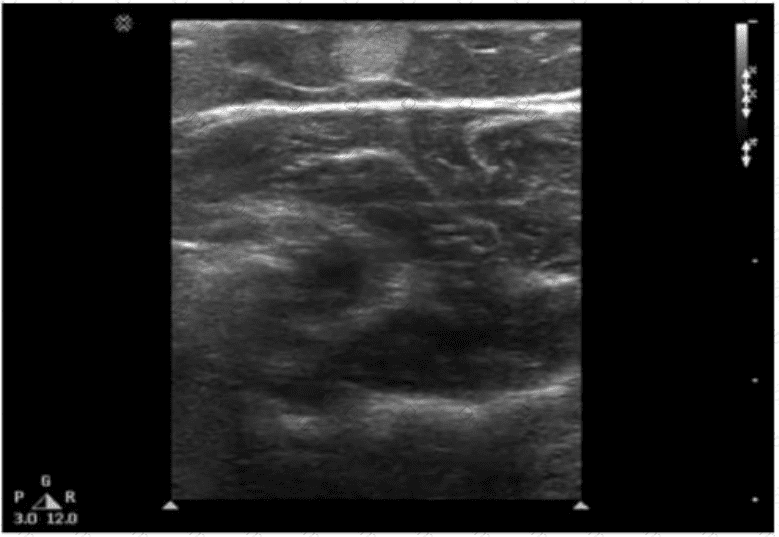
Which condition is most consistent with the sonographic appearance in this image of the abdominal wall?

Which description is associated with the normal sonographic appearance of a tendon?
What is the most common malignancy of the prostate?
Which probe frequency is most appropriate for imaging of the salivary glands?
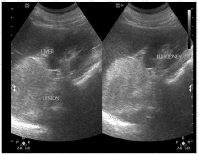
Which finding is most likely demonstrated in these images of a hypertensive patient with a history of hematuria?

Which condition is characterized by abnormal dilatation of veins of the pampiniform plexus and most commonly affects the left testicle?
Which sonographic finding is most consistent with scrotal inflammation?
Which condition is most likely depicted in this image?

Which sonographic finding distinguishes focal nodular hyperplasia from hepatic adenoma?
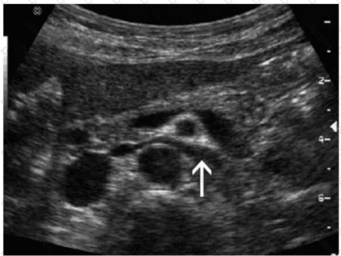
Which organ is drained via the vessel indicated by the arrow in this image?

TESTED 20 Apr 2026