Which condition is commonly associated with cardiac tamponade?
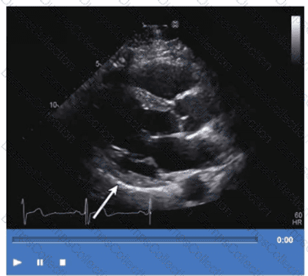
Which wall is indicated by the arrow on this video?

Which adjustment will improve the frame rate?
Which flow abnormality produces a continuous murmur?
Which adjustment is most likely to improve image quality from the suprasternal long axis window?
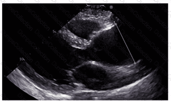
Which region of the aorta is being measured to assess the critical finding in this image?

In cardiac tamponade, how do transvalvular pressure gradients change during expiration?
The 'P' wave of an electrocardiogram relates to which echocardiography event?
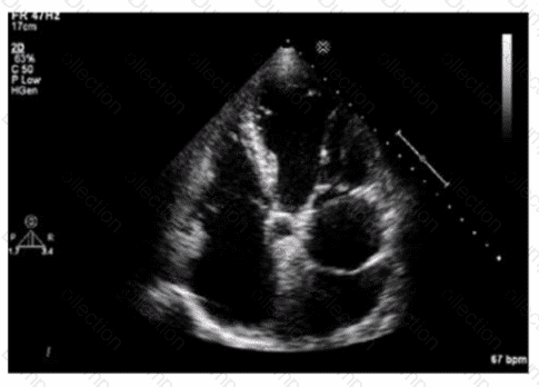
Which finding is shown in this image?

Which diagnosis is most likely confirmed by echocardiography in a 65-year-old female presenting with new onset chest pain associated with ST segment elevation on the electrocardiogram and angiographically normal coronary artenes?